| Address | Hours | |||
| 1375 Defense Highway | Mon | 8am - 5pm | ||
| Gambrills, MD 21054 | Tues | 7am - 4pm | ||
| (410) 721-7020 | Wed | 8am - 4pm | ||
| (410) 721-1970 (fax) | Thurs | 8:30am - 12:30pm | ||
| Click for Directions | ||||
Beautiful smiles, change lives!









| MicroAbrasion | |
| Before | After |
|
|
|
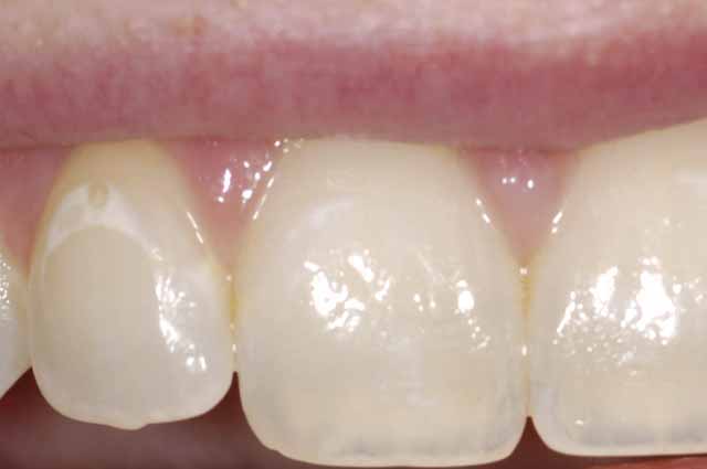
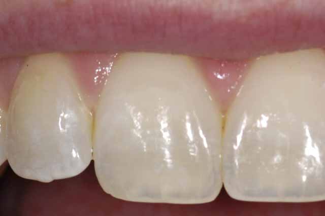
| Kyle was unhappy with the large white spot on his front tooth. We decided that several sessions of MicroAbrasion would help remove it. |
Two treatments of MicroAbrasion were required to achieve this result. |
| Before | After |
|
|
|
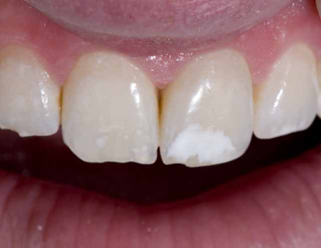
| Elizabeth had a white spot on her tooth that appeared after she had her braces removed. |
One treatment of MicroAbrasion was required to remove it. |
| Before | After |
|
|
|
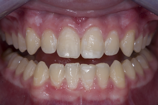
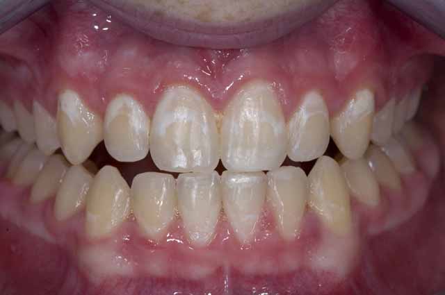
| When Patrick's braces were removed he had beautifully straight teeth but they were marred by white spots. | Three sessions of MicroAbrasion helped reduce the appearance of the white spots |
Copyright 2009 Klocko Center for Cosmetic, Restorative & Family Dentistry in Crofton, MD